DENTIST IN Florence, AL
Smile Brighter, Live Better
Request an Appointment

Welcome to Johnson and Mahan Dental Care
Our doors are open to welcome new patients who are ready to receive the best in dental care. With our array of dental services, it’s no surprise we're regularly expanding our family of patients. If you are interested in becoming a new patient, please call our office at 256-766-3260. We are skilled at treating patients from all dental backgrounds and make every effort to ensure your appointment is as comfortable as possible. We provide superior care to get you onto the path of improved dental health.
We invite you to visit our office and get the smile you've always dreamed of!
LEARN MORE
Complete Dental Solutions Under One Roof
Experience top-quality care with our full range of dental services, including preventive, restorative, and cosmetic treatments—all in one convenient location.
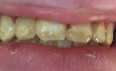
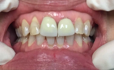
Smile Transformations
Discover the power of a transformed smile with our advanced cosmetic treatments—designed to enhance your confidence and natural beauty.
Before


After
Before


After
Before


After





